Akuter Husten tritt häufig bei viral bedingter Erkältung auf, kann aber auch Symptom schwerer Erkrankungen sein. / Foto: Shutterstock/Rido
Bis zu einem Drittel der Europäer hustet (1). Dafür gibt es ganz verschiedene Ursachen und Anlässe. Häufig genügt eine symptomatische Behandlung. Gar nicht so selten sollte man besser die tatsächliche Ursache herausfinden und therapieren. Die zugrundeliegende Krankheit könnte das Leben gefährden oder zumindest die Lebensqualität auf Dauer verschlechtern.
Doch zunächst ein Blick auf die Physiologie, denn der Hustenreflex lässt sich auf verschiedenen Wegen auslösen (2). Im Epithel von Nase, Rachen, Kehlkopf und Bronchien befinden sich Aδ- und C-Fasern des Nervus (N.) vagus, die auf mechanische und chemische Reize hin ihre Signale in das Hustenzentrum im Hirnstamm (Medulla oblongata) weiterleiten. Auch das Großhirn erhält diese Information. Ab einer bestimmten Reizschwelle wird eine tiefe Inspiration ausgelöst. Dann verschließen Epiglottis (Kehldeckel) und Stimmlippen den Kehlkopf. Die Exspirationsmuskulatur baut Druck auf, und mit der plötzlichen Öffnung des Kehlkopfs strömt ein sehr schneller Luftstrom nach außen: ein Hustenstoß. Fremdkörper und Sekret werden mitgerissen und ausgeworfen (Expektoration). Über das Großhirn kann der Mensch auch willentlich husten.
Ein anderer Mechanismus liegt bei einer Rhinosinusitis vor. Die ältere Hypothese geht von einer Schleimstraße an der Rachenhinterwand aus, die Nervenendigungen reizt (postnasal drip). Der Rachen (Pharynx) ist über den N. vagus, N. glossopharyngeus und N. trigeminus innerviert. Die neuere Hypothese postuliert einen Entzündungsprozess, der über Mediatoren die Fasern des N. trigeminus in der Nasen- und Nasennebenhöhlenschleimhaut reizt.
Reizungen des äußeren Gehörgangs (Arnold’scher Nerv, ein Vagusast) und die Pleura visceralis, das »Lungenfell«, das die Lungen von außen überzieht, können ebenfalls den Hustenreflex auslösen.
Auch chronische Herzerkrankungen können zum Husten führen. So löst eine Versteifung des Lungenparenchyms infolge einer Lungenstauung bei Herzinsuffizienz oder Klappenvitien (Herzklappenfehler) über Dehnungsrezeptoren ebenfalls den Hustenreflex aus.
Entzündungsmediatoren wie Tachykinine, Bradykinin oder Prostaglandine können auf verschiedenen Ebenen die Sensitivität des Reflexes erhöhen oder senken. Dann hustet man schon bei niedrigsten Schadstoffkonzentrationen in der Luft.
Die neue Leitlinie der Deutschen Gesellschaft für Pneumologie und Beatmungsmedizin zur »Diagnostik und Therapie von erwachsenen Patienten mit Husten« (2) teilt das Symptom nach seiner Dauer ein. Dabei kann der Husten trocken oder produktiv sein, das heißt mehr oder weniger Sekret fördern.
Nach Ausschluss aller Ursachen spricht man vom chronisch idiopathischen Husten.
Die Fülle von möglichen, auch lebensbedrohlichen Ursachen erfordert eine umfassende Diagnostik beim Arzt – zumindest bei Patienten mit subakutem und chronischem Husten. Ist eine Ursache gefunden, steht die kausale Therapie im Vordergrund. Eine symptomatische Behandlung wird solange eingesetzt, bis die kurative wirksam ist.
Es gibt bedrohliche Befunde, die umgehend eine weitere Diagnostik und Therapie erfordern, zum Beispiel Bluthusten, Ruhedyspnoe, Heiserkeit, Fieber über 38,5 °C oder Zyanose. Dies gilt natürlich auch bei Verdacht auf Tuberkulose oder Herzinsuffizienz. An inhalative Noxen ist zum Beispiel bei Unfällen oder einer Raucheranamnese mit mehr als 35 Packyears zu denken (»Packungsjahre«: Anzahl der täglich konsumierten Zigarettenpackungen à circa 20 Stück multipliziert mit der Zahl der Raucherjahre).
Bei subakutem Husten sucht der Arzt nach Umweltfaktoren und nach exazerbierten Vorerkrankungen wie Asthma, Sinusitis oder COPD. Sind diese Ursachen auszuschließen, besteht mit größter Wahrscheinlichkeit eine postvirale Rhinosinusitis, ein Keuchhusten (Pertussis) oder eine unspezifische bronchiale Hyperreagibilität.
Die Diagnostik bei chronischem Husten ist umfangreicher (Grafik). Die häufigsten Ursachen sind kardiale und neurologische Krankheiten sowie Medikamente, zum Beispiel ACE-Hemmer oder Gliptine. Mit einer Röntgenaufnahme des Thorax in zwei Ebenen sowie einer Lungenfunktionsprüfung kann der Pneumologe in der Regel mehr als die Hälfte der Fälle diagnostizieren.
Bei einem negativen Test auf bronchiale Hyperreaktivität kann man ein Asthma nahezu ausschließen. Auch ein exspiratorisches Stickstoffmonoxid (FeNO) unter 50 ppb spricht dagegen. Eine HNO-Untersuchung klärt Erkrankungen der oberen Atemwege ab, zum Beispiel Rhinitis, Sinusitis, Fremdkörper oder Tumoren.
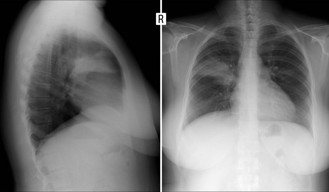
Röntgenaufnahme der Lunge (Ausschnitt in zwei Ebenen): Es ist eine Pneumonie im Lungenoberlappen rechts zu erkennen (Segment 2). / Foto: Shutterstock/Vanzittoo
Bei Eosinophilie im Sputum und erhöhten FeNO-Werten ohne Asthma kommt eine (seltene) eosinophile Bronchitis in Betracht (Grafik). Wenn immer noch Fragen offen sind, kann eine thorakale Computertomografie (CT) weitere Krankheiten aufdecken und bei Bedarf eine Bronchoskopie erfolgen. Erst wenn alle bisherigen Befunde den Husten nicht erklären, darf man von einem chronisch idiopathischen Husten sprechen.
Häufigste Ursache eines akuten Hustens ist eine viral bedingte Erkältung, also eine Rhinitis, Sinusitis, Pharyngitis, Laryngitis oder Bronchitis. Isolierte akute Bronchitiden können auch durch Bakterien wie Mykoplasma pneumoniae, Chlamydia pneumoniae oder Bordetella pertussis verursacht sein, die isolierte akute Sinusitis durch Streptokokken oder Hämophilus influenzae.
Nur bei diagnostisch gesicherter bakterieller Infektion ist eine antibiotische Therapie indiziert. Ansonsten kann das Apothekenteam eine symptomatische Behandlung empfehlen, die zum Beispiel zwischen trockenem und produktivem Husten unterscheidet (siehe auch nachfolgenden Artikel zur Phytotherapie bei Husten).
Eine postvirale Rhinosinusitis kann bis zu zwölf Wochen andauern und gehört somit schon zu den Kategorien »subakut« oder »chronisch». Meist heilt sie ohne weitere Therapie aus (2). Auch der postinfektiöse Husten nach einem viralen Infekt der oberen und unteren Atemwege klingt üblicherweise innerhalb von acht Wochen ohne weitere kausale Therapie ab. Falls er persistiert, kann der Arzt inhalative Corticosteroide (ICS) verordnen. Ist eine obstruktive Ventilationsstörung nachweisbar, helfen zusätzlich inhalative β2-Agonisten.
Eine häufige Ursache von subakutem postinfektiösem Husten ist Pertussis – auch bei Erwachsenen. Da die Impfung im Kindesalter nicht lebenslang schützt, sollten Ärzte und Apotheker immer wieder auf die Auffrischimpfung gegen Keuchhusten hinweisen. Stakkato-ähnliche Hustenattacken mit Erbrechen sind das Leitsymptom. Leider sind weder der kulturelle Direktnachweis von Bordetella pertussis noch der serologische Test ausreichend zuverlässig. Antibiotika der ersten Wahl sind Makrolide, die aber nur in der Anfangsphase (zehn Tage) der Infektion wirksam sind (3). Antitussiva können Erleichterung verschaffen, ICS jedoch nicht.
Auch andere Erreger können einen subakuten Husten verursachen, zum Beispiel Mykoplasma pneumoniae und Chlamydia pneumoniae.
Bei allergischer Rhinopathie (oft mit Sinusitis, Konjunktivitis, Pharyngitis, Laryngitis) bieten Allergenkarenz und Hyposensibilisierung (spezifische Immuntherapie) einen kausalen Ansatz. Ansonsten kann das Apothekenteam symptomatische Therapien, zum Beispiel mit Cromoglicin oder H1-blockierenden Antihistaminika, neuerdings auch topische (nasale) Corticoide anbieten.
Bei kleinen Kindern und alten Menschen, die akut husten, sollte man auch an verschluckte Gegenstände (Aspirationen) denken und die Patienten sofort an den Arzt verweisen. Die Röntgen- oder besser CT-Diagnostik sollte das Aspirat zeigen. Der Arzt kann Fremdmaterialien über das Bronchoskop entfernen.
Eine Notfallsituation sind auch inhalative Unfälle, zum Beispiel mit Gasen, Dämpfen, Stäuben oder Rauch, die oft mit Konjunktivitis, Rhinitis und Bronchitis verbunden sind und mit akutem Husten einhergehen. Vorsicht ist geboten: Es kann noch Stunden nach dem Unfall zum toxischen Lungenödem kommen. Inhalative hochdosierte Corticosteroide sind das Mittel der Wahl.

Foto: Fotolia/M.Drr & M.Frommherz
Akuter und chronischer trockener Husten kann auch bei Asthma auftreten. Vor allem beim Phänotyp des cough-variant-Asthmas können alle anderen Asthma-Symptome fehlen. Daher ist die Diagnostik nicht banal. Hier hilft die übliche antiasthmatische Stufentherapie inklusive ICS, die innerhalb von vier Wochen deutliche Linderung bringen wird. An eine gleichzeitige Rhinitis-Sinusitis ist zu denken. Einige Patienten mit cough-variant-Asthma entwickeln im Lauf des Lebens eine typische Asthma-Erkrankung.
Die chronisch obstruktive Lungenerkrankung (COPD) ist durch chronischen Husten, Auswurf und Atemnot unterschiedlichen Ausmaßes gekennzeichnet. Vor allem Menschen mit bronchitischem Phänotyp haben eine schlechte Lebensqualität mit vielen Exazerbationen. Dringend erforderlich sind Nikotinkarenz sowie eine antiobstruktive Therapie nach Stufenplan. Langwirksame β2-Agonisten, Anticholinergika oder ICS haben auf Husten und Auswurf nur eine begrenzte Wirksamkeit.
Bei der COPD-Exazerbation (Verschlimmerung) kann der chronische von einem akuten Husten abgelöst werden. Je nach Schwere der Episode wird der Arzt zusätzlich zur Dauertherapie orale Corticosteroide und Antibiotika einsetzen.
Akuter Husten kann auch ein Symptom ernster Lungenerkrankungen sein, zum Beispiel bei einer Lungenentzündung (Pneumonie). Die Symptomkonstellation Husten, gelegentlich mit blutigem Auswurf, sowie mit Fieber, Atemnot, Thoraxschmerz und Zyanose erlaubt die Verdachtsdiagnose. Beweisend ist eine Röntgen-Thorax-Aufnahme. Bei einer Pneumonie sind unbedingt und möglichst frühzeitig Antibiotika erforderlich. Antitussiva können das Schlafen ermöglichen. Ob Expektoranzien den Krankheitsverlauf verbessern, ist umstritten; symptomatisch können sie hilfreich sein.
Bei einer Lungenembolie kann es ebenfalls zu akutem Husten kommen, wobei die übrigen Symptome deutlich überwiegen. Das Kreislaufversagen ist unter Umständen tödlich. Daher steht die kurative Therapie ganz im Vordergrund. Den Notarzt rufen!
Leidet der Patient an chronischen Krankheiten der oberen Atemwege wie der Nase und deren Nebenhöhlen, des Pharynx, der Tonsillen oder des Larynx, ist eine HNO-ärztliche Sanierung, bei Bedarf auch operativ, erforderlich. Irritationen des äußeren Gehörgangs (Arnold‘scher Nerv) sind lokal zu beheben, zum Beispiel durch lokale desinfizierende Mulleinlagen, antientzündliche oder antibiotische Ohrentropfen.
Eine chronische nicht-obstruktive Bronchitis kann hartnäckig verlaufen mit produktivem Husten an den meisten Tagen des Jahres (über wenigstens zwei Jahre). Nikotinkarenz ist die Voraussetzung für eine Besserung. Die langfristige Wirkung von Sekretolytika ist umstritten.
Non-CF-Bronchiektasen, also krankhafte Ausbuchtungen in den Bronchien ohne Mukoviszidose, äußern sich in chronischem Husten mit großen Auswurfmengen. Dann ist eine physiotherapeutische Atemtherapie mit schleimmobilisierenden Geräten hilfreich. Auch langwirksame β2-Agonisten oder Anticholinergika sind wirksam. Bei Erwachsenen gibt es wenig wissenschaftliche Evidenz zu Sekretolytika und zu Inhalativa wie hyperosmolarer Kochsalzlösung, Mannitol-Pulver oder rekombinanter humaner DNase (Dornase alfa). Antitussiva wirken der Sekretmobilisation entgegen und sind relativ kontraindiziert.
Akute Exazerbationen von Non-CF-Bronchiektasen werden zusätzlich antibiotisch behandelt. Bei Pseudomonas-Nachweis kommen inhalative Antibiotika zum Einsatz, zum Beispiel Colistin oder Tobramycin (4).
Bei Mukoviszidose-Patienten ist Husten nur eines der vielen Probleme. Hier entstehen Bronchiektasen mit extrem zähem Schleim. Die Behandlung ist komplex und sollte gemäß der aktuellen Leitlinie erfolgen (5).
Ebenfalls in die Hand von Spezialisten gehören Patienten mit interstitiellen Lungenerkrankungen, die durch Schäden im die Lungenbläschen umgebenden Bindegewebe verursacht werden. Dies führt zu großflächigen Entzündungen und fibrotischer Narbenbildung in der Lunge. Diese Erkrankungen haben vielfältige Ursachen und gehen oft mit trockenem Hüsteln und Belastungsdyspnoe einher. Beides kann therapeutisch schwer zugänglich sein, vor allem bei fortgeschrittenen Vernarbungen der Lunge. Eine frühe Diagnose ist entscheidend.
Sodbrennen brennt nicht nur im Brustbereich. Der gastro-ösophageale Reflux kann Hustenattacken auslösen, aber nur wenn bereits ein hypersensitiver Hustenreflex vorliegt. / Foto: Adobe Stock/fizkes
In der Apotheke gut bekannt sind dagegen Refluxpatienten. Nicht alle husten. Nur wenn bereits ein hypersensitiver Hustenreflex vorliegt, kann gastro-ösophagealer Reflux zu Hustenattacken führen. Die Wirkung von Protonenpumpenblockern auf den Husten ist und bleibt umstritten. Dagegen scheinen Hochstellen des Kopfendes am Bett und Gewichtsreduktion wirksam zu sein. Antireflux-Operationen zur Therapie des Hustens sind nur nach ausführlicher Diagnostik und bei sorgfältig ausgewählten Patienten sinnvoll.
Besonders Augenmerk sollten Arzt und Apotheker auf medikamentös ausgelösten Husten legen. Alle ACE-Hemmer steigern die Sensitivität des Hustenreflexes, aber nur 5 bis 10 Prozent der Patienten leiden unter chronischem Husten. Cave: Nach Absetzen des ACE-Hemmers kann der Husten drei Wochen persistieren. Amiodaron, Methotrexat, Bleomycin, Mitomycin C, Busulfan und Mycophenolatmofetil verursachen interstitielle Lungenerkrankungen mit dem Leitsymptom trockener Husten. Betablocker können Asthma auslösen.
Husten wird häufig als banal angesehen und rein symptomatisch behandelt. Bleibt eine ernste Ursache unentdeckt, können sich dauerhafte Gesundheitsschäden entwickeln. Gerechtfertigt ist eine symptomatische Therapie nur,
Dann kann man versuchen, das Bronchialsekret zu lockern, um das Abhusten zu erleichtern (Expektoranzien), oder den Hustenreflex zu dämpfen (Antitussiva). Das Abhusten kann durch eine physiotherapeutische Atemtherapie deutlich erleichtert werden, zum Beispiel bei Patienten mit Bronchiektasen, Mukoviszidose, COPD oder hypersekretorischer Bronchitis. Ebenso kann eine Physiotherapie den Hustenreflex abschwächen, also antitussiv wirken.
Physiotherapie und Atemübungen können das Abhusten deutlich erleichtern und den Hustenreflex abschwächen. / Foto: Adobe Stock/Lisa F. Young
Zu den medikamentösen Expektoranzien gehören Sekretolytika, die das Sekretvolumen erhöhen, und Mukolytika, die die Sekretviskosität reduzieren. Einigen Präparaten werden antientzündliche Wirkungen zugeordnet. Weit verbreitet sind beispielsweise Ambroxol und Bromhexin zur Sekretolyse sowie N-Acetylcystein zur Mukolyse. Deren Wirksamkeit ist offensichtlich individuell sehr unterschiedlich. Die Studienlage ist uneinheitlich bis widersprüchlich.
Bei obstruktiver Ventilationsstörung wirken β2-Adrenergika und Theophyllin sekretfördernd, wahrscheinlich weil sie die mukoziliäre Clearance steigern. Bei COPD reduzieren inhalative Anticholinergika die Sekretmenge ebenso wie die inhalativen Corticosteroide bei Asthma.
Ein gutes Hausmittel sind zuckerhaltige Sirupe, Lutschtabletten und Bonbons, die die Hustenrezeptoren des Rachens »einzuhüllen« scheinen. Sie können den Hustenreiz 20 bis 30 Minuten lindern. Viele Patienten nehmen Phytopharmaka, die teilweise überraschend gute Effekte beim akuten Husten aufweisen (mehr dazu im nachfolgenden Artikel von Professor Fürst und Dr. Zündorf).
Medikamentöse Antitussiva wirken am Hustenrezeptor, am Reflexbogen, im Gehirn oder an der peripheren Muskulatur. Opioide binden an Hustenrezeptoren im Hirnstamm, zum Beispiel am µ2-Rezeptor, und sind die potentesten Antitussiva. Beispiele sind Morphinsulfat, Codein, Dihydrocodein, Dextromethorphan oder Noscapin. Alle Opioide haben Suchtpotenzial, reduzieren den Atemantrieb, wirken sedierend und führen zur Obstipation. Eine Dauertherapie ist deshalb problematisch.
Nicht-opioide Antitussiva sind diverse Phytopharmaka, zum Beispiel aus Thymian, Efeu, Primel, Eukalyptus und Spitzwegerich, oder chemisch definierte Stoffe wie Pentoxyverin, Levodropropizin oder Benproperin. Deren Nebenwirkungsspektrum umfasst Müdigkeit, Magenbeschwerden und Obstipation.
»L‘amore e la tosse non si possono nascondere«: »Die Liebe und der Husten werden sich nicht verbergen lassen«, sagen die Italiener. Aufgabe der Heilberufler ist es, den subakuten und chronischen Husten nicht zu banalisieren. Wenn immer möglich, sollte ein Arzt die Hustenursache klären. Dann steht selbstverständlich die kausale Therapie im Vordergrund. Eine symptomatische Behandlung wird solange eingesetzt, bis die kurative wirksam ist.
Beim akuten bis subakuten Husten hingegen kann eine Selbstmedikation mit chemisch-synthetischen Wirkstoffen und Phytopharmaka hilfreich sein. Immer ist an die physiotherapeutische Atemtherapie zu denken, die sowohl expektorative wie antitussive Effekte hat. Bei Patienten mit chronischem Husten sind die symptomatischen Behandlungsoptionen sehr eingeschränkt und teilweise nebenwirkungsreich. /
Dr. Michael Schmidt studierte zunächst Botanik und Zoologie, bevor er das Medizinstudium an der Julius-Maximilians-Universität, Würzburg, aufnahm und 1977 mit Approbation und Promotion abschloss. In der Folge erwarb er die Anerkennung als Facharzt für Innere Medizin, für Lungen- und Bronchialheilkunde sowie die Zusatzbezeichnung Allergologie und habilitierte sich im Fach Innere Medizin. Professor Schmidt war langjähriger Leitender Arzt des Schwerpunkts Pneumologie an der Medizinischen Klinik und Poliklinik 1, Universitätsklinikum Würzburg. Er gründete und leitete das Klinische Ethikkomitee, gründete das interdisziplinäre Thoraxzentrum Mainfranken sowie das Sarkoidose-Zentrum am Universitätsklinikum. Seit seinem Ruhestand 2015 ist Professor Schmidt als Dozent und Referent, unter anderem am Uniklinikum Würzburg tätig.