Gesunde Zähne sind in jedem Alter ein Grund zur Freude. / Foto: Adobe Stock/dubova
Warum ist tägliches Zähneputzen so wichtig? Die Mundhöhle ist ein bakterieller Mikrokosmos. Bislang wurden mehr als 700 verschiedene Arten von Mikroorganismen entdeckt (1). Sofort nach dem Zähneputzen beginnt erneut die bakterielle Besiedelung der Zähne. Zunächst legt sich ein Speichelfilm, das sogenannte Pellikel, um die Zähne. An diesen Film binden aerobe Bakterien wie grampositive Stäbchen oder Streptokokken wie Streptococcus mutans, der Haupterreger von Karies (2, 3). Wird die bakterielle Plaque nicht entfernt, aggregieren die Bakterien zu größeren Kolonien, eingebettet in eine schützende Matrixstruktur aus bakteriellen Polysacchariden und Glykolyseprodukten. Ein komplexer Biofilm überzieht die Zähne. Darin können sich auch anaerobe Bakterien wie Porphyromonas gingivalis vermehren, einer der wichtigsten Erreger der Parodontitis.
Nach circa vier Tagen beginnt sich Calcium aus dem Speichel vor allem auf der Zahninnenseite des Unterkiefers einzulagern, wo sich die Speicheldrüsen befinden. Der Zahnbelag wandelt sich langsam in Zahnstein um und härtet aus. Farbstoffe aus Rotwein, Kaffee, Tee oder Tabak, die an das eingelagerte Calcium binden, sorgen für unschöne Verfärbungen. Hat der Biofilm eine bestimmte Dicke erreicht, können Teile abreißen, bedingt durch die immer stärker wirkenden Scherkräfte.
Wird Plaque nicht regelmäßig mechanisch mit einer Zahnbürste entfernt, können Infektionen wie Gingivitis und im fortgeschrittenen Stadium Parodontitis auftreten, ausgelöst durch Erreger wie Porphyromonas gingivalis. Das Zahnfleisch entzündet sich, schwillt an und kann sich zurückbilden (Grafik). Zahnfleischbluten, Mundgeruch und erhöhte Schmerzempfindlichkeit durch freiliegende Zahnhälse sind die Folge.
Zahnerkrankungen, ausgehend vom gesunden Zahn (links) bis hin zur Parodontitis / Foto: Stephan Spitzer
Wichtig: Während Gingivitis reversibel ist und sich durch intensive Mundpflege zurückbilden kann, muss eine Parodontitis zahnärztlich behandelt werden. Ansonsten drohen langfristig Zahnausfall durch die Lockerung des Halteapparats sowie Verlust des Kieferknochens, wenn die Entzündung sich auch im Kieferknochen ausbreitet (4).
Eine weitere unangenehme Begleiterscheinung der bakteriellen Besiedlung ist Mundgeruch. Dafür sind bei circa 90 Prozent der Betroffenen anaerobe Bakterien auf der Zunge, die schwefelhaltige übelriechende Stoffe produzieren, verantwortlich. Hilft eine regelmäßige gründliche Plaque-Entfernung inklusive Reinigung der Zunge mit der Zahnbürste oder einem speziellen Zungenreiniger nicht, sollte abgeklärt werden, ob systemische Erkrankungen der Leber oder Lunge, Diabetes mellitus oder eine medikamentös ausgelöste Xerostomie Ursache für den schlechten Atem sind (11).
Trotz rückläufiger Trends für Zahnerkrankungen in Deutschland stellt die Parodontitis nach wie vor ein Problem dar. Laut der 5. Deutschen Mundgesundheitsstudie von 2016 sind circa 50 bis 75 Prozent der Erwachsenen betroffen (5). Parodontitis ist eine ernst zu nehmende Erkrankung. Studien haben gezeigt, dass sie ein Risikofaktor für bestimmte systemische Erkrankungen wie Diabetes, kardiovaskuläre Erkrankungen und Atemwegserkrankungen ist. Dabei scheinen die Entzündungsreaktion und die Freisetzung von proinflammatorischen Zytokinen wie Interleukin-1 und -6 sowie Tumornekrosefaktor-alpha eine Rolle zu spielen (4).
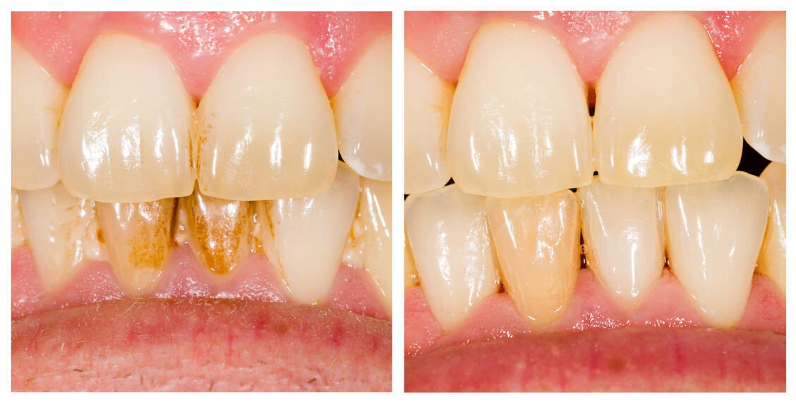
Zähne mit Plaque (links) und nach der professionellen Reinigung / Foto: Adobe Stock/Sandor Kacso
Auch bei Morbus Alzheimer gibt es wissenschaftliche Studienergebnisse, die auf eine Rolle der Gingivitis-Erreger bei der Pathogenese hindeuten. So konnte die Studiengruppe um Dominy und Mitarbeiter 2019 im Gehirn von Alzheimer-Patienten Porphyromonas gingivalis sowie neurotoxische bakterielle Proteasen, sogenannte Gingipaine, nachweisen (6). In Mäusen reduzierte die orale oder subkutane Gabe von Gingipain-Inhibitoren die Zahl von P. gingivalis sowie die Synthese von Plaques. Nervenentzündungen bildeten sich zurück und Neurone im Hippocampus blieben erhalten.
Wichtig für die Beratung: In der Schwangerschaft ist eine gute Mundhygiene besonders wichtig, da das Zahnfleisch aufgrund der veränderten Hormonspiegel anfälliger für Entzündungen ist. Hat sich eine Parodontitis entwickelt, scheint diese mit einem erhöhten Risiko für eine Präeklampsie einherzugehen (4, 7).
Neben den parodontalen Erkrankungen ist Karies die weltweit häufigste chronische Erkrankung. Bei circa 80 bis 90 Prozent der Bevölkerung ist Streptococcus mutans in der Mundhöhle nachweisbar. Wie entstehen die Kariesläsionen in den Zähnen? Zunächst metabolisieren die Kariesbakterien Zucker aus der Nahrung zu schwachen Säuren. Der saure pH-Wert demineralisiert den Zahnschmelz; Calcium und Phosphat werden herausgelöst. Der Zahnschmelz wird porös und es kommt zu Läsionen, die sich unbehandelt bis in die darunterliegende Dentinschicht ausweiten (8).
Im Gegensatz zur Karies wird die Zahnerosion nicht durch Bakterien verursacht. Vielmehr zerstören starke Säuren wie Phosphor- oder Zitronensäure, die in Getränken wie Sportdrinks, Zitrusgetränken oder Cola enthalten sind, bei häufigem Genuss irreversibel große Flächen des Zahnschmelzes und der darunterliegenden Dentinschicht. Bis zu 40 Prozent der Kinder, Jugendlichen und jungen Erwachsenen sind davon betroffen. Der besorgniserregende Anstieg hat die WHO 2004 veranlasst, Erosion als Krankheit zu klassifizieren (9).

Foto: iStockphoto/delihayat
Gute Mundhygiene ist nicht nur ab den ersten Zähnen, bei Kindern, Jugendlichen und jüngeren Erwachsenen wichtig, sondern auch bei älteren Menschen. Lockere Zähne erschweren das Kauen von Vollkornbrot, Obst und Rohkost, die die Basis für eine gesunde und ausgewogene Ernährung sind.
Die Deutsche Mundgesundheitsstudie (5) stellte 2016 den Bürgern im Allgemeinen ein recht gutes Zeugnis aus. Im Vergleich zu anderen Industrienationen belegte Deutschland Spitzenplätze beim Rückgang von Karies, Parodontitis und Zahnlosigkeit. Auch bei jüngeren Senioren zwischen 65 und 74 Jahren zeigte die Studie einen rückläufigen Trend bei der Parodontitis. Nur noch jeder Achte in dieser Altersgruppe war zahnlos; im Jahr 1997 war es noch jeder Vierte. Ältere Senioren im Alter zwischen 75 und 100 Jahren hatten 2014 einen Mundgesundheitszustand wie die Altersgruppe der 65- bis 74-Jährigen im Jahr 2005.
Problematisch ist jedoch nach wie vor die Mundgesundheit bei pflegebedürftigen älteren Menschen. Diese haben im Vergleich vermehrt Karies, weniger eigene Zähne und häufiger einen herausnehmbaren Zahnersatz als die gesamte Altersgruppe der älteren Senioren. Knapp 30 Prozent der Pflegebedürftigen sind nicht mehr in der Lage, ihre Zähne und Zahnprothesen eigenständig zu reinigen und zu pflegen. Sie benötigen Unterstützung bei der täglichen Mundhygiene.
Neben dem unschönen ästhetischen Aspekt können Erosionen, Kariesläsionen und Parodontitis die Schmerzempfindlichkeit der Zähne erhöhen. Verursacht wird diese Hypersensibilität durch die freigelegten Dentintubuli, die das Dentin (Zahnbein) durchziehen. Bei Kontakt mit kalten oder heißen Flüssigkeiten oder Druck bewegt sich die Flüssigkeit in diesen Hohlräumen und stimuliert die Nerven: Es entsteht ein unangenehm ziehender Schmerz (10).
Die mechanische Reinigung mit einer Zahnbürste ist der wichtigste Teil der Mundhygiene. Mittels der auf die Plaque wirkenden Scherkräfte werden mehr als 90 Prozent des Zahnbelags entfernt (12). Bereits bei Durchbrechen der Milchzähne durch den Kiefer bildet sich Plaque; daher muss bereits bei den Kleinsten regelmäßig geputzt werden.
Werkzeuge zur Zahnpflege sind keine Erfindung der Neuzeit. Bereits 3000 v. Chr. wurden in Ägypten Kaustäbe zur Reinigung der Zähne verwendet. Die sogenannten Miswaks waren Äste oder Wurzeln des Zahnbürstenbaumes (Salvadora persica), der interessanterweise auch Fluorid, Calcium und Silikate enthält. Die erste Borstenzahnbürste mit Schweineborsten und Bambusgriff wurde in China um 1500 entwickelt. Fast 500 Jahre später, 1938, kam die erste Zahnbürste mit Nylonborsten auf den Markt. Die ersten elektrischen Zahnbürsten wurden in den 1960er-Jahren entwickelt.
Die Zahnbürste soll weiche oder mittelharte abgerundete Kunststoffborsten haben. Bürsten mit einem Kurzkopf erreichen enge Stellen des Kiefers besser. Ein systematischer Review legt nahe, dass Zahnbürsten mit angewinkelten Borsten Zahnbelag besser entfernen als flache oder solche, bei denen die Borsten verschieden hoch sind (13). Nach spätestens drei Monaten sollte die Bürste ausgetauscht werden, da bei gebogenen Borsten die Putzleistung abnimmt und die Verletzungsgefahr des Zahnfleischs steigt. Indikatorborsten mit mechanisch sensitivem Farbstoff signalisieren, wann ein Wechsel angezeigt ist.
Neben einer Vielzahl von Handzahnbürsten gibt es auch eine große Auswahl von elektrischen Zahnbürsten. Bringen diese einen Vorteil im Vergleich zu manuellen Bürsten? Der systematische Cochrane-Review von Yaacob und Mitarbeitern (2014) zeigte, dass elektrische Zahnbürsten, vor allem solche mit oszillierend-rotierender Bewegung, den manuellen bezüglich der Entfernung von Plaque und der Reduktion von Gingivitis überlegen sind (14).
Daneben bieten elektrische Zahnbürsten weitere Vorteile, die eine effektive Zahnreinigung unterstützen. Die Andruckkontrolle bei verschiedenen Modellen verhindert, dass die Zähne mit zu viel Druck geputzt werden, was langfristig zu deren Abrasion führen kann (15). Eingebaute Timer erhöhen nachweislich die Compliance, die empfohlenen zwei Minuten zu putzen (15, 17), denn Studien haben gezeigt, dass die Menschen durchschnittlich nur circa 45 Sekunden putzen (16). Runde Bürstenköpfe unterstützen besonders das Putzen auf der Zahninnenseite, wo sich gerade im Unterkiefer aufgrund der Lage der Speicheldrüsen verstärkt Zahnstein bildet. Die Putztechnik mit Führen der Bürste von Zahn zu Zahn und kurzem Halten sowie die verschiedenen Aufsteckbürsten machen es Kindern und älteren Personen sowie Pflegenden von Menschen mit Behinderung oder Demenz einfacher, die Zähne gründlich zu reinigen.
Wichtige Instrumente zur Mund- und Zahnpflege. Elektrische Zahnbürsten sind den manuellen in puncto Plaque-Entfernung überlegen. / Foto: AOK-Mediendienst
Was bringt längeres Putzen? Eine Studiengruppe fand bereits 1993 heraus, dass nach zwei Minuten Putzen mit einer elektrischen Zahnbürste mehr als 80 Prozent der Plaque entfernt sind, nach 30 Sekunden aber nur circa 50 Prozent. Eine Verlängerung der Putzzeit über drei Minuten hinaus brachte keine weitere Verbesserung (18).
Zu einer optimalen Mundhygiene gehören auch Zahnseide und Interdentalreiniger, da die Bürste nur circa drei Fünftel der Zahnoberfläche erreicht. Vor allem die Zahnzwischenräume müssen mit Zahnseide oder Interdentalbürstchen gereinigt werden. Interdentalreiniger sind auch gut geeignet, größere Zwischenräume bei Implantaten, Brücken oder Brackets zu säubern. Hier herrscht in Deutschland allerdings noch Nachholbedarf: Putzen drei von vier Bundesbürgern gemäß einer Forsa-Umfrage von 2018 zweimal täglich ihre Zähne, gehört die Benutzung von Zahnseide nur bei knapp 15 Prozent zur täglichen Routine.
Zahnpasten ergänzen die mechanische Reinigung mit der Zahnbürste und leisten mehr als die Zufuhr von Fluorid. Vielmehr beugen sie Zahnerkrankungen wie Gingivitis, Erosion und Hypersensitivität vor, entfernen Verfärbungen und erfrischen den Atem. Neben Fluoriden enthalten sie deshalb weitere Wirkstoffe sowie eine Vielzahl von Hilfsstoffen wie Tenside, abrasive Stoffe (»Putzkörper«), Süßstoffe oder Geschmacksstoffe (Tabelle 1).
| Komponenten | Beispiele |
|---|---|
| Putzkörper | Siliciumdioxid, Aluminiumoxidtrihydrat, Calciumcarbonat, Natriumhydrogencarbonat, Kieselsäure |
| Tenside | Poloxamer, Natriumlaurylsulfat |
| Bindemittel | Xanthangummi, Carbomer, Carboxymethylcellulose, Carrageen, Alginsäure |
| Puffer | Natriumhydroxid, Trinatriumphosphat |
| Feuchthaltemittel | Sorbitol, Glycerin, Xylit, Propylenglykol |
| Farb-, Süß- und Geschmacksstoffe | Titandioxid, Saccharin, Xylit, Pfefferminzöl, Menthol, Nelkenöl, Anisöl, Fenchelöl |
Für eine effektive Kariesprophylaxe wird mindestens zweimal tägliches Zähneputzen mit einer fluoridhaltigen Zahnpasta empfohlen. Fluoride machen den Zahnschmelz resistenter gegen die Säureattacken, unterstützen dessen Remineralisierung mit Calcium und Phosphat aus dem Speichel und hemmen zudem die säureproduzierenden Bakterien. Neben dem Fluoridzusatz in der Zahnpasta als wichtigste Quelle für die Kariesprophylaxe enthält auch die Nahrung Fluoride. Weiterhin empfehlen die zahnmedizinischen Gesellschaften zur Kariesprophylaxe eine möglichst zuckerarme Ernährung und das Kauen von zuckerfreien Kaugummis zur Anregung des Speichelflusses und damit der Remineralisierung.
Besteht ein erhöhtes Kariesrisiko, zum Beispiel bei Kindern und Jugendlichen, kann der Zahnarzt die Zähne mit einer dünnen Kunststoffschicht versiegeln oder Zahnpasten mit höheren Fluoridkonzentrationen, Flouridlacke, -gelee oder -spülungen verordnen (19).
Seit Herbst 2018 empfehlen die zahnmedizinischen Fachgesellschaften höhere Fluoridkonzentration für Kinder (Tabelle 2; 19). Die orale Fluoridprophylaxe wird von Zahnärzten in Gegensatz zu den Kinderärzten nicht empfohlen. Fluorid wirkt lokal besser; zudem besteht bei oraler Gabe das Risiko der Überdosierung, erkennbar an weißen Flecken im Zahnschmelz (Fluorose). Für die maximale Aufnahme von Fluorid pro Tag nennt die Europäische Lebensmittelsicherheitsbehörde (EFSA 2013; 20) altersbezogene Grenzen:
Zahnpasten enthalten verschiedene Fluorid-Verbindungen. Am häufigsten ist Natriumfluorid enthalten. Zinnfluorid wirkt zusätzlich antibakteriell. Aminfluorid hat aufgrund seines Tensidcharakters eine hohe Oberflächenaktivität und bildet rasch Calciumfluorid. Natriummonofluorphosphat muss zunächst enzymatisch gespalten werden und hat deshalb einen verzögerten Wirkeintritt. Während Fluoride wie Natriumfluorid wirksam Karies vorbeugen, sind sie bei starken Säuren nicht effektiv genug und können die Zähne nicht vor Erosion schützen. Wirksamer sind Zinnfluorid, Zinnchlorid plus Aminfluorid, die eine Schutzschicht über den Zahn legen, sowie eine Kombination von Calciumcarbonat und Arginin (21).
| Alter | Konzentration | tägliche Anwendung | Menge Zahnpasta |
|---|---|---|---|
| ab Durchbruch des ersten Zahns bis 2. Geburtstag | 500 ppm | 2 x | erbsengroß |
| oder 1000 ppm | 2 x | reiskorngroß | |
| 2. bis 6. Geburtstag | 1000 ppm | 2 x | erbsengroß |
| ab 7. Geburtstag | 1450 ppm | 2 x | erbsengroß |
| Jugendliche ab 12 Jahren und Erwachsene | 1450 ppm | 2 x | circa 1 cm Streifen |
»Sensitiv«-Zahnpasten enthalten verschiedene Wirkstoffe, die den Schmerz bei hypersensiblen Zähnen mindern sollen (22). Kaliumnitrat und -citrat depolarisieren die Neurone im Zahninneren und hemmen so die Schmerzweiterleitung an den Synapsen. Dagegen blockieren Zinnfluorid, Strontiumchlorid/-acetat, Calcium natriumphosphosilikat, Nanohydroxyapatit, Arginin plus Calciumcarbonat sowie Calciumphosphosilikat die Dentintubuli und stoppen dadurch die Flüssigkeitsbewegung im Inneren und somit die Nervenstimulation.
Antibakterielle Wirkstoffe in der Zahnpasta helfen, Gingivitis und Mundgeruch vorzubeugen. Zink- und Zinnsalze hemmen die Adhäsion der Bakterien an den Zahnschmelz sowie den bakteriellen Metabolismus. Chlorhexidin und Cetylpyridiniumchlorid interferieren mit der bakteriellen Zellmembran und wirken bakterizid, sollten jedoch zeitlich begrenzt (30 Tage) verwendet werden, um Verfärbungen der Zähne oder eine Veränderung der Geschmacksempfindung zu vermeiden.
Ätherische Öle aus Ratanhiawurzel, Kamille, Echinacea, Myrrhe oder Salbei enthalten phenolische Inhaltsstoffe und wirken ebenfalls bakterizid. Ergänzend zur Mundpflege mit Zahnbürste und -pasta können zusätzlich Mundwässer mit antibakteriellen Wirkstoffen verwendet werden (23, 24).
Ein eher kosmetisches Problem sind oberflächliche Verfärbungen der Zähne durch Tee, Kaffee, Rotwein oder Tabak. Die darin enthaltenen Farbstoffe binden an Calcium, das sich in den Zahnbelag einlagert und zur Bildung von Zahnstein führt. Pyrophosphate, Polyphosphate und Zinkcitrat wirken präventiv, indem sie Calcium binden und so verhindern, dass sich die Farbstoffe anlagern (25).
Hat sich Zahnstein erst einmal gebildet, hilft nur noch eine professionelle Zahnreinigung beim Zahnarzt. Abrasive Substanzen wie Silikate, Calciumcarbonat oder Aluminiumverbindungen unterstützen die mechanische Entfernung von Plaques und oberflächlichen Verfärbungen. Partikelgröße und Härte der Putzkörper bestimmen deren abrasive Wirksamkeit.
Ein Maß für die Abrasivität einer Zahnpasta ist der RDA-Wert, der bei allen Zahnpasten in Deutschland unter dem Grenzwert von maximal 250 liegt. Bei den meisten Zahnpasten finden sich RDA-Werte von 100 und niedriger. In der Regel haben sogenannte Whitening-Zahnpasten höhere RDA-Werte, während »Sensitiv«-Zahnpasten niedrige Werte aufweisen.
Wichtig: Verfärbungen im Zahnschmelz oder die natürliche Zahnfarbe aufhellen, kann nur der Zahnarzt mit konzentrierter Wasserstoffperoxid-Lösung (26). Die im Handel befindlichen Whitening-Strips dürfen seit einigen Jahren nur eine Konzentration von 0,1 Prozent Wasserstoffperoxid enthalten. Sie erzielen meistens nicht das gewünschte Ergebnis; zudem können auch Zahnschmerzen auftreten.
Ernährung
Mundhygiene
Vor der Verwendung von selbst gemachten Zahnpasten, zum Beispiel auf Basis von Kokosfett, Natron, Schlämmkreide oder Heilerde, warnt die Deutsche Gesellschaft für Präventivzahnmedizin. Als problematisch bewerten die Zahnärzte vor allem das fehlende Fluorid für eine wirksame Kariesprophylaxe sowie mögliche Schädigungen des Zahnschmelzes durch hohe Mengen abrasiver Stoffe.
Auch die Verwendung von Naturprodukten wie Miswaks oder Zahnbürsten mit Naturborsten wird nicht empfohlen. Damit lassen sich die Zähne nicht gründlich reinigen. Zudem sind sie hygienisch bedenklich, da sich auf der rauen Oberfläche und im hohlen Innenraum der Borsten Bakterien ansiedeln können (27).
Bettina Wick-Urban studierte Pharmazie an der Albert-Ludwigs-Universität in Freiburg. Nach ihrer Promotion 1996 in Basel und Freiburg mit einer Arbeit über experimentelle Krebstherapien arbeitete sie bis 1998 als Referentin bei der Arzneimittelinformationsstelle der ABDA. Danach wechselte sie in die pharmazeutische Industrie und war von 1999 bis 2004 in der klinischen Forschung tätig, davon zwei Jahre in den USA. Seit 2004 ist die Autorin in verschiedenen Positionen im Marketing und in der medizinischwissenschaftlichen Information beschäftigt. Mitte 2006 schloss sie ein Journalismus-Studium ab.