Pharmazeutische Zeitung online Avoxa
whatsApp instagram facebook bluesky linkedin xign

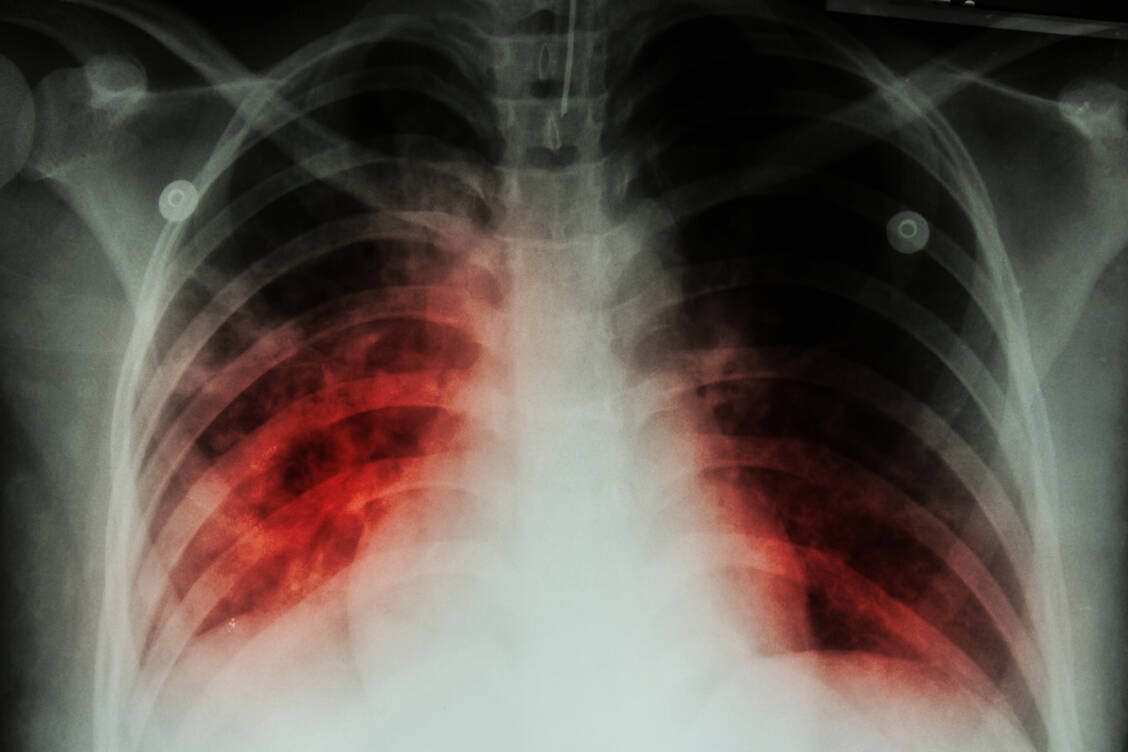
Tuberkulose
-
Jeder fünfte Fall in Europa bleibt unerkannt

Unentdeckte Tuberkulose-Fälle, Ausbreitung resistenter Erreger – beides hängt Experten zufolge zusammen und gefährdet den Kampf gegen die Krankheit. Hinzu kommt eine gewaltige Finanzierungslücke.
AutorKontaktdpa
Datum 23.03.2026  14:30 Uhr
Jeder fünfte Fall in Europa bleibt unerkannt

Jede fünfte Tuberkulose-Erkrankung in Europa bleibt nach Schätzung der Weltgesundheitsorganisation (WHO) unerkannt oder wird nicht gemeldet. 2024 seien knapp 162.000 Fälle gemeldet worden, heißt es in einem aktuellen Bericht. Tatsächlich sei von etwa 204.000 Erkrankungen auszugehen.

Zudem träten Rifampicin-resistente Tuberkulose-Bakterien in Europa in 23 Prozent der Fälle und damit rund siebenmal häufiger auf als im weltweiten Durchschnitt (3,2 Prozent). Das Antibiotikum Rifampicin gehört zu den Standard-Wirkstoffen gegen Tuberkulose.

»Arzneimittel-resistente Stämme sind wesentlich schwieriger zu behandeln, erfordern längere und komplexere Therapien und sind für eine deutlich höhere Sterblichkeit verantwortlich.«

Stärkere Übertragung – mehr Resistenzen

Beides hänge zusammen, so die WHO: »Menschen, bei denen die Diagnose erst spät gestellt wird, haben ein höheres Risiko, Tuberkulose auf andere zu übertragen, und sind schwerer zu behandeln.« Eine stärkere Übertragung wiederum könne zu einer höheren Zahl an Menschen führen, bei denen die Behandlung nicht anschlage – »was ein Hauptgrund für die Entstehung von Resistenzen ist«.

Zwar sind die Fallzahlen seit 2015 deutlich gesunken. Doch Europa verfehle weiterhin wichtige Ziele in Bezug auf Früherkennung, Behandlung und Nachverfolgung – und damit die Eindämmung der Krankheit. Zur Europäischen Region zählt die WHO 53 Länder, darunter neben den Staaten der EU und des Europäischen Wirtschaftsraums (EWR) auch Großbritannien, die Ukraine, Russland und mehrere zentralasiatische Länder.

Mehr als 4.000 erfasste Fälle in Deutschland

In Deutschland gab es laut Robert Koch-Institut (RKI) im vergangenen Jahr 4.070 Meldungen neu diagnostizierter Tuberkulose-Erkrankungen. In 237 Fällen waren Kinder unter 15 Jahren betroffen. Drei von vier Menschen, bei denen in Deutschland eine Tuberkulose diagnostiziert wird, sind in einem anderen Land geboren, wie es im Bericht des RKI zum Welt-Tuberkulose-Tag am Dienstag heißt.

Tuberkulose ist nach WHO-Daten die weltweit tödlichste Infektionskrankheit in Bezug auf die Zahl jährlicher Todesfälle. Weltweit erkrankten 2024 etwa 11 Millionen Menschen. Mehr als 1,2 Millionen Menschen starben, vor allem in Ressourcen-schwachen Ländern. Besonders betroffen sind Länder wie Indien, Indonesien, China, Pakistan und die Philippinen.

Tuberkulose wird unter anderem über die Luft übertragen. Zu den Symptomen zählt vor allem Husten, möglich sind zudem Brustschmerzen und Appetitverlust. Die Bakterien können neben der Lunge auch andere Organe befallen. Ohne Behandlung führt eine Tuberkulose-Erkrankung laut WHO-Daten bei etwa jedem zweiten Betroffenen zum Tod.

Mehr von Avoxa