Adobe Stock/sementsova321
Wenn alle Welt hustet und Antitussiva oder Sekretolytika Hochkonjunktur haben, ist es nicht einfach, eine Pneumonie von einer banalen Erkältung zu unterscheiden. Das spielt auch eine Rolle bei der Beratung in der Apotheke. Das Apothekenteam sollte hellhörig werden,
Dann ist eine (Pneumokokken-) Pneumonie sehr wahrscheinlich. Eine Pneumonie ist natürlich nicht durch fiebersenkende Medikamente, Antitussiva oder Sekretolytika heilbar, auch wenn die Symptome dadurch abgemildert werden. Hier ist zunächst eine solide Diagnose gefragt, bevor der Arzt eine kalkulierte Antibiotikatherapie beginnt – und zwar möglichst umgehend.
Banale Erkältung, Influenza oder Pneumonie? Die Symptome können erste Hinweise geben. / Foto: Shutterstock/New Africa
Wenig untersucht ist die Infektionsgefahr für die Apothekenmitarbeiter selbst. Wahrscheinlich ist das Risiko, in einer zu Erkältungszeiten gut besuchten Apotheke selbst eine Atemwegsinfektion oder Pneumonie zu bekommen, deutlich größer als in einem »normalen« Umfeld. Von Pflegenden und Ärzten in Notaufnahmen der Krankenhäuser ist bekannt, dass sie einem gefährlichen Keimspektrum ausgesetzt sind. Wenn sie an einer Lungenentzündung erkranken, kann man nicht unbedingt von einer üblichen ambulant erworbenen Pneumonie und deren Erregern ausgehen. Wahrscheinlich sind die Verhältnisse in einer Apotheke ähnlich. Zum Risikomanagement während einer Influenza-Pandemie gibt es Empfehlungen der ABDA – Bundesvereinigung Deutscher Apothekerverbände (1).
Mit dem Begriff »ambulant erworbene Pneumonie« bezeichnet man eine Lungenentzündung, die im normalen sozialen Umfeld eines immunkompetenten Patienten auftritt. Es handelt sich um eine etwas unglückliche Übersetzung der »Community Acquired Pneumonia« (CAP) des englischen Sprachraums. Sie wird unterschieden von der im Krankenhaus erworbenen, nosokomialen Pneumonie (Hospital Acquired Pneumonia; HAP) und von der Pneumonie des immungeschwächten Patienten. Für diese drei Krankheitsbilder sind sehr unterschiedliche Erregertypen verantwortlich, was Rückschlüsse auf die initiale (und hoffentlich heilende) Antibiotikatherapie zulässt.
Frühere Einteilungen nach Verschattungsmustern im Röntgenbild oder nach Erregertypen haben sich nicht bewährt.
Der häufigste Erreger einer CAP ist Streptococcus pneumoniae (»Pneumokokken«). Deutlich seltener ist Mycoplasma pneumoniae. Selten sind Chlamydia pneumoniae, Haemophilus influenzae, Staphylococcus aureus oder Legionella pneumophila zu finden. Enterokokken, zum Beispiel Escherichia coli, oder Pseudomonaden sind keine typischen Erreger einer CAP. Bei Pandemien ist an Influenza-Viren zu denken.
Auf Basis von Krankenkassendaten lässt sich vermuten, dass hierzulande jährlich mehr als 600 000 Menschen an einer CAP erkranken. Etwa die Hälfte davon wird im Krankenhaus behandelt, vorwiegend ältere Menschen. Die schwereren Verläufe sind immer noch mit einer hohen Letalität (etwa 13 Prozent) belastet; ein Drittel dieser Patienten stirbt schon innerhalb der ersten drei Tage (2). Die Ursachen dafür sind septische Verläufe, das heißt zu späte Diagnosestellung oder Verzögerung der Antibiotikagabe, sowie Komorbiditäten, das heißt chronische Vorerkrankungen, die sich unter der Pneumonie verschlimmern. Dekompensierte Komorbiditäten, zum Beispiel Herz-Kreislauf-Erkrankungen, Leber- oder Niereninsuffizienz oder neurologische Erkrankungen, können auch zum Tod älterer Menschen nach der Entlassung aus dem Krankenhaus beitragen.
Die medizinische Situation ist also unbefriedigend. Es ist nötig, Risikopatienten schneller und zuverlässiger zu identifizieren, um möglichst umgehend mit einer kalkulierten Antibiotikatherapie beginnen zu können. Hier zählen tatsächlich Stunden. Ebenso wichtig ist es, die Verschlimmerung von Begleiterkrankungen sofort zu erkennen und mitzubehandeln. Im Update der S3-Leitlinie »Behandlung von erwachsenen Patienten mit ambulant erworbener Pneumonie und Prävention« wird das berücksichtigt (3).
Die Pneumonie bei schwer immungeschwächten Patienten betrifft Menschen mit Neutropenie (< 1000/µL Neutrophile), iatrogen-medikamentöser Immunsuppression (zum Beispiel systemische Steroide), Transplantation solider Organe oder von Stammzellen, HIV-Infektion oder Aids, Antikörpermangelsyndromen oder angeborenen Immundefekten. Man findet bei ihnen opportunistische und multiresistente Keime (3). Daher werden sie im Krankenhaus intravenös mit Reserveantibiotika behandelt.
Im Gegensatz zur CAP hat die im Krankenhaus erworbene Pneumonie (HAP) oder nosokomiale Pneumonie eine andere Charakteristik. Ein krankenhauspflichtiger Mensch infiziert sich dort mit hoch pathogenen Erregern, die womöglich resistent gegen die üblichen Antibiotika sind (6). Eine besonders kritische Variante der HAP ist die Pneumonie unter künstlicher Beatmung (Ventilator-Associated Pneu monia, VAP). Man rechnet mit bis zu 113 000 HAP-Fällen pro Jahr.
Das Computertomogramm zeigt eine akute Pneumonie beidseits mit schmalem Pleura-Erguss links. / Foto: Your Photo Today
Schon bei begründetem Verdacht auf eine HAP muss unverzüglich eine thorakale Computertomografie (CT) und mikrobiologische Diagnostik erfolgen. Zum Erregernachweis werden auch invasive Probenentnahmen, zum Beispiel Punktionen und Bronchoskopie, und aufwendigere mikrobiologische Techniken, zum Beispiel ein DNA-Nachweis, eingesetzt. Die kalkulierte Antibiotikatherapie beginnt sofort nach der Bildgebung. Dennoch ist die Letalität mit bis zu 17 Prozent aller HAP-Fälle hoch.
Eine besondere Risikogruppe sind ambulante Patienten, die sich kürzlich in medizinischer Behandlung befanden, zum Beispiel mit Krankenhausaufenthalt, oder die in Pflegeheimen wohnen. Man spricht von Healthcare-associated pneumonia (HCAP). Ihre Pneumonie wird durch ein verändertes Keimspektrum verursacht, zum Beispiel durch Staphylococcus aureus, gramnegative Enterobakterien oder Pseudomonas aeruginosa. Entsprechend muss die Initialtherapie auf diese Keime abgestimmt werden (7).
Die Diagnostik ruht auf drei Säulen: Symptome, klinische Befunde und technische Befunde.
Lokale Symptome der entzündeten Atemwege sind Husten (anfangs trocken, später produktiv), Atemnot und Thoraxschmerzen. Systemische Symptome der Infektion sind (hohes) Fieber, reduzierte oder erhöhte Körpertemperatur und Krankheitsgefühl (»Grippe«). Bei einer Pneumonie fehlt meist der Schnupfen der banalen Erkältung.
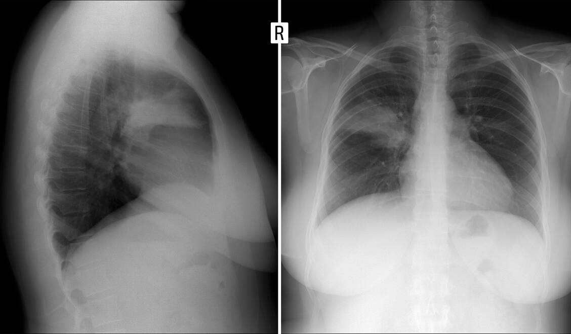
Röntgenaufnahme der Lunge (Ausschnitt in zwei Ebenen): Es ist eine Pneumonie im Lungenoberlappen rechts zu erkennen (Segment 2). / Foto: Shutterstock/Vanzittoo
Bei der körperlichen Untersuchung findet man eine erhöhte Atemfrequenz und hohen Puls, niedrigen Blutdruck, eventuell eine Blaufärbung der Lippen und Finger als Anzeichen einer Zyanose sowie einen typischen Auskultationsbefund der Lunge (Rasselgeräusche).
Zur Unterscheidung einer schweren akuten Bronchitis von einer Pneumonie ist eine Röntgenaufnahme der Lunge (in zwei Ebenen) erforderlich. Nur Spezialisten sehen das pneumonische Infiltrat auch im Ultraschall. Hilfreich kann die Bestimmung des C-reaktiven Proteins (CRP > 20 mg/dl) oder von Procalcitonin (PCT > 0,5 ng/ml) im Serum sein.
Nach heutiger Kenntnis spielt die frühzeitige Antibiotikagabe eine entscheidende Rolle, vor allem bei Risikopatienten. Zur Risikostratifizierung haben sich die CRB-65-Kriterien bewährt, wenn man zusätzlich eine Hypoxämie (reduzierter Sauerstoffgehalt im Blut), eine Dekompensation von chronischen Erkrankungen an Herz, Nervensystem, Leber oder Niere sowie eine Tumorerkrankung berücksichtigt (Tabelle 1).
| Kriterium | Charakteristik |
|---|---|
| Bewusstseinsstörung (Consciousness) | neu aufgetreten |
| Atemfrequenz (Respiratory rate) | ≥ 30/min |
| Blutdruck (Blood pressure) | systolisch < 90 mmHg diastolisch ≤ 60 mmHg |
| Alter | ≥ 65 Jahre |
| Komorbiditäten (eventuell dekompensiert) | chronische kardiale, neurologische, hepatische, renale Erkrankungen, Tumorkrankheiten |
| Sauerstoffsättigung | < 90 Prozent (pulsoximetrisch) |
| funktioneller Status | > 50 Prozent des Tages bettlägerig |
Tabelle 1: CRB-65-Kriterien und weitere Kriterien zur Risikostratifizierung vor einer ambulanten Therapie bei CAP (2). Wenn kein Kriterium zutrifft, kann eine ambulante Therapie erwogen werden.
Sind alle Kriterien negativ, kann eine ambulante Therapie der CAP (aCAP) erwogen werden, wenn der Patient zuverlässig erscheint und ein helfendes soziales Umfeld hat. Dies betrifft vorwiegend jüngere Menschen. Schon wenn ein CRB-65-Kriterium positiv ist, steht je nach Situation eine Krankenhauseinweisung an. Es handelt sich vorwiegend um ältere Patienten.
Bei der aCAP ist wegen der großen Konstanz der Erreger in den letzten Jahren eine mikrobiologische Diagnostik vor der Initialtherapie nicht erforderlich. Die erste Antibiotikawahl bleibt Amoxicillin (dreimal 750 bis 1000 mg/Tag). Alternativ stehen zur Verfügung:
Klinisch geheilt werden mit dieser Initialtherapie zwischen 76 und 89 Prozent der Patienten. Nach 48 (bis 72) Stunden müssen die Stabilitätskriterien (Tabelle 4) überprüft werden, denn das Therapieversagen zeigt sich spätestens am dritten Tag.
| Kriterium | Grenzwert, Bewertung |
|---|---|
| Herzfrequenz | ≤ 100/min |
| Atemfrequenz | ≤ 24/min |
| systolischer Blutdruck | ≥ 90 mmHg |
| Körpertemperatur | ≤ 37,8 °C |
| orale Nahrungsaufnahme | ist möglich |
| Bewusstseinszustand | normal |
| keine Hypoxämie | Sauerstoffpartialdruck ≥ 60 mmHg oder Sauerstoffsättigung ≥ 90 Prozent |
Tabelle 4: Klinische Stabilitätskriterien (2)
Falls die Risikostratifizierung gegen eine ambulante Therapie spricht, wird der Patient ins Krankenhaus eingewiesen (hospitalisierte CAP; hCAP). Dort wird in der Notaufnahme entschieden, wie groß das Verschlimmerungs- oder Todesrisiko des Patienten ist (Tabelle 2).
| Kriterium | Grenzwert, Bewertung |
|---|---|
| Akute respiratorische Insuffizienz | Atemfrequenz ≥ 30/min Sauerstoffpartialdruck ≤ 55 mmHg bei Raumluft *) |
| Röntgen-Thorax-Aufnahme | Infiltrate in mehreren Lappen oder beidseits |
| Bewusstsein | neu aufgetretene Bewusstseinsstörung |
| Kreislauf | systemische Hypotension und hoher intravenöser Volumenbedarf |
| akutes Nierenversagen | Serum-Harnstoff ≥ 20 mg/dl |
| Sepsis | Serum-Laktat > 2 mmol/L |
| Blutbild | Leukozytopenie < 4000/µl Thrombozytopenie < 10 0000/µl |
| Temperaturregulation | Hypothermie < 36 °C |
| Komorbidität | instabile Komorbidität |
Tabelle 2: Kriterien für einen medizinischen Notfall einer im Krankenhaus behandelten CAP (hCAP) (2)
*) oder bei Sauerstoffzufuhr: Der Quotient aus arteriellem Sauerstoffpartialdruck (PaO2) und inspiratori scher Sauerstoffkonzentration (FiO2) liegt unter 250.
Treffen aus diesem Kriterienkatalog ein bis zwei Kriterien zu, kann der Patient auf einer normalen Station behandelt werden. Wenn mehr als zwei Kriterien zutreffen, liegt ein Notfall vor und er muss kontinuierlich überwacht werden; das heißt, dass die Aufnahme auf einer Wach- oder Intensivstation erforderlich ist (schwere CAP; sCAP). Kritisch sind vor allem die Entstehung einer Sepsis, die respiratorische Insuffizienz und die Dekompensation der Komorbiditäten, zum Beispiel des Herzens, der Leber oder Nieren.
Vor einer Antibiotikagabe bei einer hCAP werden Blutkulturen angelegt, das Legionellen- und Pneumokokken-Antigen im Urin bestimmt und eitriges Sputum mikroskopisch und kulturell untersucht. Falls eine Pandemie herrscht, soll eine Polymerase-Kettenreaktion auf Influenzaviren veranlasst werden.
Findet man eine übermäßige Flüssigkeitsansammlung in der Pleurahöhle zwischen Lunge und Brustwand (Pleura-Erguss), soll diese punktiert und mikrobiologisch untersucht werden. Liegt der pH-Wert in der Er guss flüssigkeit unter 7, muss von einer eitrigen Pleuritis (Pleura-Empyem) ausgegangen werden, die chirurgisch drainiert wird.
Die Antibiotikatherapie der hCAP erfolgt intravenös über fünf bis sieben Tage (Tabelle 3).
| Schweregrad der hCAP | Standardtherapie | Alternative Antibiotika |
|---|---|---|
| mittelschwer, das heißt ohne akute Organdysfunktion | Betalactam intravenös, zum Beispiel Amoxicillin/Clavulansäure Ampicillin/Sulbactam Cefuroxim Ceftriaxon Cefotaxim optional: Makrolid intravenös oder oral, zum Beispiel Clarithromycin oder Azithromycin | Fluorchinolon intravenös oder oral, zum Beispiel Moxifloxacin oder Levofloxacin |
| schwer, das heißt mit akuter Organdysfunktion | Betalactam intravenös zum Beispiel Piperacillin/Tazobactam Ceftriaxon Cefotaxim optional: Makrolid intravenös oder oral, zum Beispiel Clarithromycin oder Azithromycin | Fluorchinolon intravenös oder oral, zum Beispiel Moxifloxacin oder Levofloxacin |
Tabelle 3: Kalkulierte initiale Antibiotikatherapie bei stationär behandelter CAP (hCAP). Ob die zusätzlichen oralen Makrolidgaben tatsächlich die Prognose verbessern, bleibt umstritten (3).
Die ersten 72 Stunden bringen die Entscheidung über den Erfolg der Therapie. In dieser Zeit müssen täglich die Stabilitätskriterien überprüft werden (Tabelle 4). Die Entzündungsmarker CRP oder PCT werden am dritten bis vierten Tag gemessen. Fallen sie nicht ab oder wird keine klinische Stabilität erreicht, ist von einem Therapieversagen auszugehen.
Trotz wirksamer Antibiotika ist eine Pneumonie immer noch eine schwere Erkrankung, vor allem für ältere und multimorbide Patienten. / Foto: Shutterstock/Dmytro Zinkevych
In den ersten drei Tagen laufen die Befunde der mikrobiologischen Diagnostik ein. Dann kann oft die breite Initialtherapie auf den Erreger fokussiert werden. Wurden keine Legionellen, Mykoplasmen oder Chlamydien nachgewiesen, können die additiven Makrolide nach drei Tagen weggelassen werden. Falls eine Pneumokokken-Pneumonie wahrscheinlich ist, soll auf Penicillin fokussiert werden. Im Zweifel gilt: never change a winning team.

Shutterstock/nulza11
Die Patienten sollten möglichst kurz, am besten gar nicht immobilisiert werden. Man soll früh mit Physiotherapie einsetzen. Ob und eventuell welche Sekretolytika hilfreich sind, bleibt nach wie vor umstritten. Patienten mit vorbestehender koronarer Herzkrankheit, Hypertonie oder Diabetes mellitus profitieren wahrscheinlich von Acetylsalicylsäure (300 mg ASS täglich über vier Wochen). Systemische Glucocorticosteroide sind nur bei vorbestehender COPD, Asthma oder beim septischen Schock indiziert (3).
Werden die Kriterien der klinischen Stabilität (Tabelle 4) nicht erreicht, ist von einem Therapieversagen auszugehen. Man reevaluiert Anamnese, klinische Untersuchung und Befunde und überprüft die Initialtherapie. Man sucht nach infektiösen Komplikationen, zum Beispiel Pleura-Empyem oder Lungenabszess, und untersucht die Komorbiditäten. Ebenso ist an einen Infektionsfokus außerhalb der Lunge zu denken (3). Es könnte auch gar keine Pneumonie, sondern eine andere Lungenkrankheit vorliegen.
Vor Umstellung der Therapie sollte die mikrobiologische Diagnostik wiederholt werden.
Jetzt ist aus differenzial diagnostischen Gründen eine neue Bildgebung, am besten mit thorakaler CT erforderlich.
Falls die Initialtherapie unzureichend war, wird auf eine leitliniengerechte Antibiotikatherapie umgestellt. Andernfalls sucht man nach einer Lücke im antimikrobiellen Wirkspektrum der Initialtherapie, um die Substanzklasse entsprechend zu wechseln (3). Mit jedem Antibiotikawechsel wegen Therapieversagens steigt allerdings die Letalität.
Die Grippeschutzimpfung reduziert bei Patienten ab dem 65. Lebensjahr generell die Wahrscheinlichkeit, eine CAP zu erleiden (4). Es besteht gute Evidenz, dass Influenza-Infektionen insgesamt deutlich seltener auf treten.
Zur Pneumokokken-Schutzimpfung gibt es divergierende Ansichten. Aktuelle Studien zeigen bei älteren Patienten einen mehr oder weniger deutlichen Schutz vor Pneumokokken-Infektionen (4). Die Ständige Impfkommission des Robert-Koch-Instituts empfiehlt deshalb die einmalige Impfung mit dem Polysaccharid-Impfstoff PSV23 für alle Menschen ab dem 60. Lebensjahr sowie bei speziellen Indikationen (5). Die S3-Leit liniengruppe (3) hingegen bevorzugt den 13-valenten Konjugat-Impfstoff PCV13, gegebenenfalls mit einer Boosterung durch PSV23 nach fünf Jahren. Die Kontroverse ist noch nicht entschieden. Nach einer CAP soll ein vierwöchiges Intervall vor einer Pneumokokken-Schutzimpfung eingehalten werden.
Inhalatives Tabakrauchen ist ein lange bekannter Risikofaktor. Da den wenigsten Patienten während der CAP ihre Zigarette schmeckt, sollte sich möglichst rasch eine Raucherentwöhnung anschließen.
Relativ sicher ist die Evidenz bei inhalativen Glucocorticosteroiden (ICS). Bei COPD-Patienten steigt das Pneumonierisiko. Es ist für Fluticasonpropionat und Beclomethason höher als für Budesonid. Unter Fluticason steigt das CAP-Risiko auch bei Patienten mit Asthma.
Es scheint einen zeitlichen Zusammenhang zwischen CAP und Beginn einer Protonenpumpenblocker-Therapie (PPI) zu geben. Eine chronische PPI-Therapie zeigt hingegen keine statistische Korrelation. Ebenso gibt es einen statistischen Zusammenhang zwischen einer antipsychotischen Therapie, einer Opioid- und womöglich auch Benzodiazepin-Therapie (3), die Mikroaspirationen begünstigen könnten. Schluckstörungen sind ein bekannter Risikofaktor für eine Pneumonie: Es kommt zu Mikroaspirationen, vor allem bei Menschen im höheren Alter.
Krankheiten des Nervensystems, zum Beispiel Morbus Parkinson, Demenz oder Apoplex, des Oropharynx, des Ösophagus, Bettlägerigkeit, Alkoholismus oder Einnahme von Sedativa erhöhen das CAP-Risiko ebenfalls erheblich. Dabei verschiebt sich das Keimspektrum in Richtung gramnegativer oder anaerober Erreger.
Die ambulant erworbene Pneumonie (CAP) hat immer noch eine erschreckend hohe Sterblichkeit in Deutschland. Von den älteren Patienten mit ihren Komorbiditäten sterben bis zu 13 Prozent. Bei konsequenter Umsetzung der aktuellen S3-Leitlinie sollte sich die Letalität reduzieren lassen. Entscheidend im ambulanten Bereich ist dabei die frühe Diagnostik und Risikostratifizierung. Im stationären Bereich sind es vor allem die täglich erhobenen Stabilitätskriterien, die das Therapieversagen schnell erkennen lassen.
Einer Verschlechterung der Funktion extrapulmonaler Organe (Komorbiditäten) muss konsequent entgegengewirkt werden. Diese Komorbiditäten können auch die Ursache für lang dauernde Erholungszeiten, bleibende Behinderungen oder gar spätere Todesfälle sein.
Apotheker können durch ihre kompetente Beratung dazu beitragen, dass eine Lungenentzündung schneller erkannt wird und die Patienten möglichst rasch in ärztliche Behandlung kommen. /
Literatur
1.) www.abda.de/themen/apotheke/qualitaetssicherung0/forschung/influenza
2.) Kolditz, M., Ewig, S., Ambulant erworbene Pneumonie bei Erwachsenen. Dtsch Ärtzebl 2017; 114; 838-848.
3.) S3-Leitlinie Behandlung von erwachsenen Patienten mit ambulant erworbener Pneumonie und Prävention – Update 2016. Abzurufen unter: www.awmf.org/uploads/tx_szleitlinien/020-020l_S3_ambulant_erworbene_Pneumonie_Behandlung_Praevention_2016-02-2.pdf; Zugriff 08. 01. 2019.
4.) Djennad, A., et al., Effectiveness of 23-Valent Polysaccharide Pneumococcal Vaccine and Changes in Invasive Pneumococcal Disease Incidence from 2000 to 2017 in Those Aged 65 and Over in England and Wales. Eclinical Medicine 2019: doi.org/10.1016/ j.eclinm.2018.12.007.
5.) Robert-Koch-Institut, Impfempfehlungen. Abzurufen unter: www.rki.de/DE/Content/Infekt/EpidBull/Archiv/2018/Ausgaben/34_18.pdf?__blob=publicationFile; Zugriff 08. 01. 2019.
6.) S3-Leitlinie Epidemiologie, Diagnostik und Therapie erwachsener Patienten mit nosokomialer Pneumonie – Update 2017. Abzurufen unter: www.awmf.org/uploads/tx_szleitlinien/020013l_S3_Nosokomiale_Pneumonie_Erwachsener_2017-11.pdf.
7.) Schweitzer, V. A., et al., Relevance of healthcare-associated pneumonia for empirical antibiotic therapy in the Netherlands. Netherlands J Med 2018; 76; 389-396.
Apl. Professor Dr. Michael Schmidt ist Facharzt für Innere Medizin, für Lungen- und Bronchialheilkunde sowie Allergologie und habilitierte sich im Fach Innere Medizin. Professor Schmidt war langjähriger Leitender Arzt des Schwerpunkts Pneumologie an der Medizinischen Klinik und Poliklinik 1, Universitätsklinikum Würzburg. Er gründete und leitete das Klinische Ethikkomitee, gründete das interdisziplinäre Thoraxzentrum Mainfranken sowie das Sarkoidose-Zentrum am Universitätsklinikum. Seit seinem Ruhestand 2015 ist Professor Schmidt noch als Dozent und Referent, unter anderem am Uniklinikum Würzburg tätig.